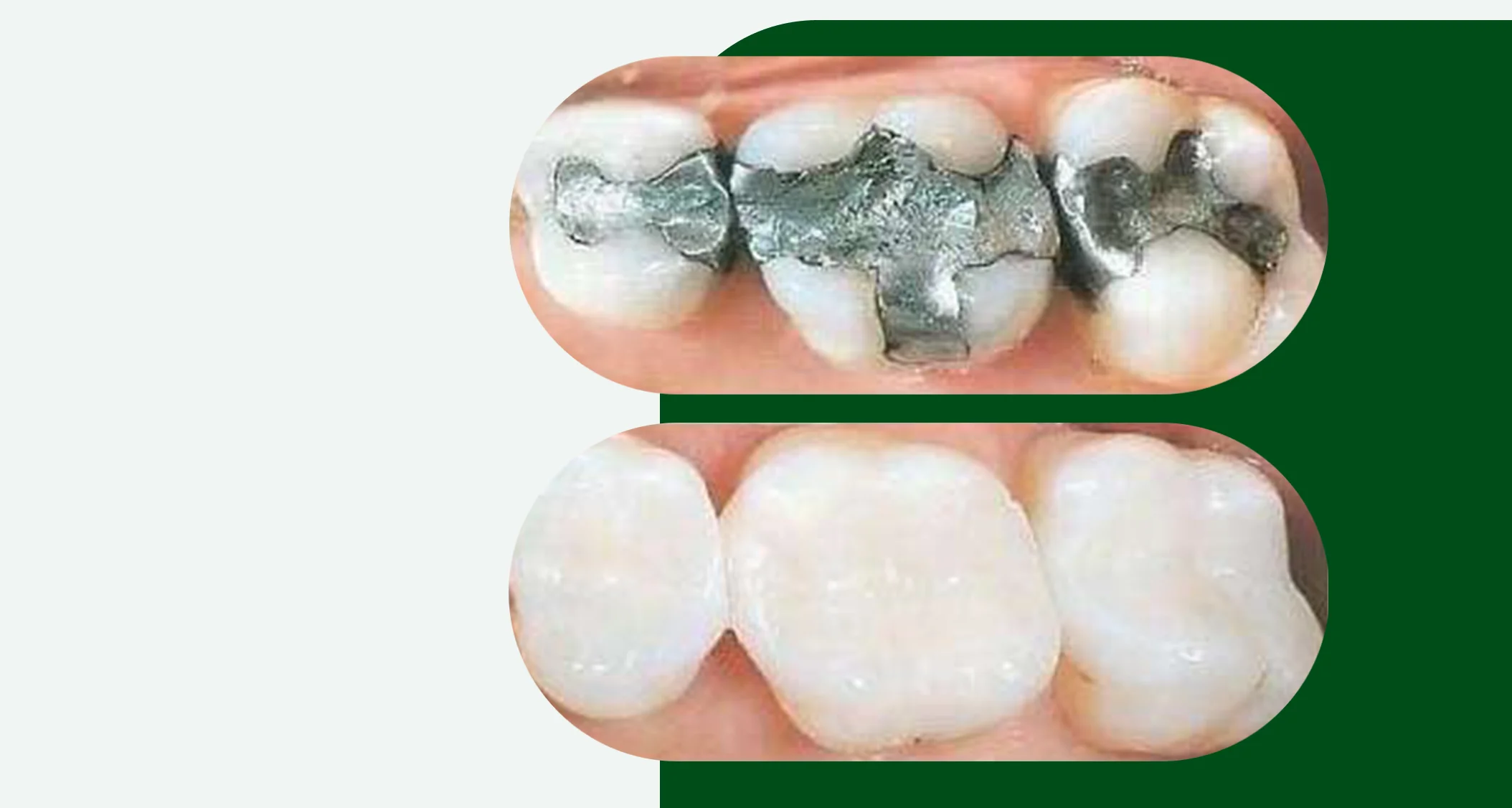
Fillings
A dental filling is a common procedure to repair cavities from tooth decay, as well as to fix broken or worn-down teeth.
- 1.
Direct Filling
Completed in a single visit, these are placed directly into a prepared cavity.
- 2.
Indirect Filling
Used when the tooth is too weak for a direct filling.

Direct Fillings:
Completed in a single visit, these are placed directly into a prepared cavity. The process involves:

Before placing a filling, your dentist may need to remove any decayed or weakened parts of the tooth. They'll offer you the option to numb the area first, usually with injections of local anaesthetic.

Next, they'll shape, clean and dry the remaining tooth so it can take the filling.

They'll fill the cavity with a composite filling.

Finally, they'll check your bite still feels right when you put your teeth together.
Indirect Fillings:
Used when the tooth is too weak for a direct filling. This includes:
Inlays
Fitting within the tooth's chewing surface bumps.
Onlays
Covering some or all of the tooth's bumps, functioning as partial crowns. These require multiple visits but can last up to 30 years and cause less structural damage than traditional fillings.

Both types of fillings help restore the tooth's function and appearance. To find out what's right for you, contact our office today.
